About
Contact
Fresh
Trending
Hot
Random
Advertisement
Home
People & Blogs
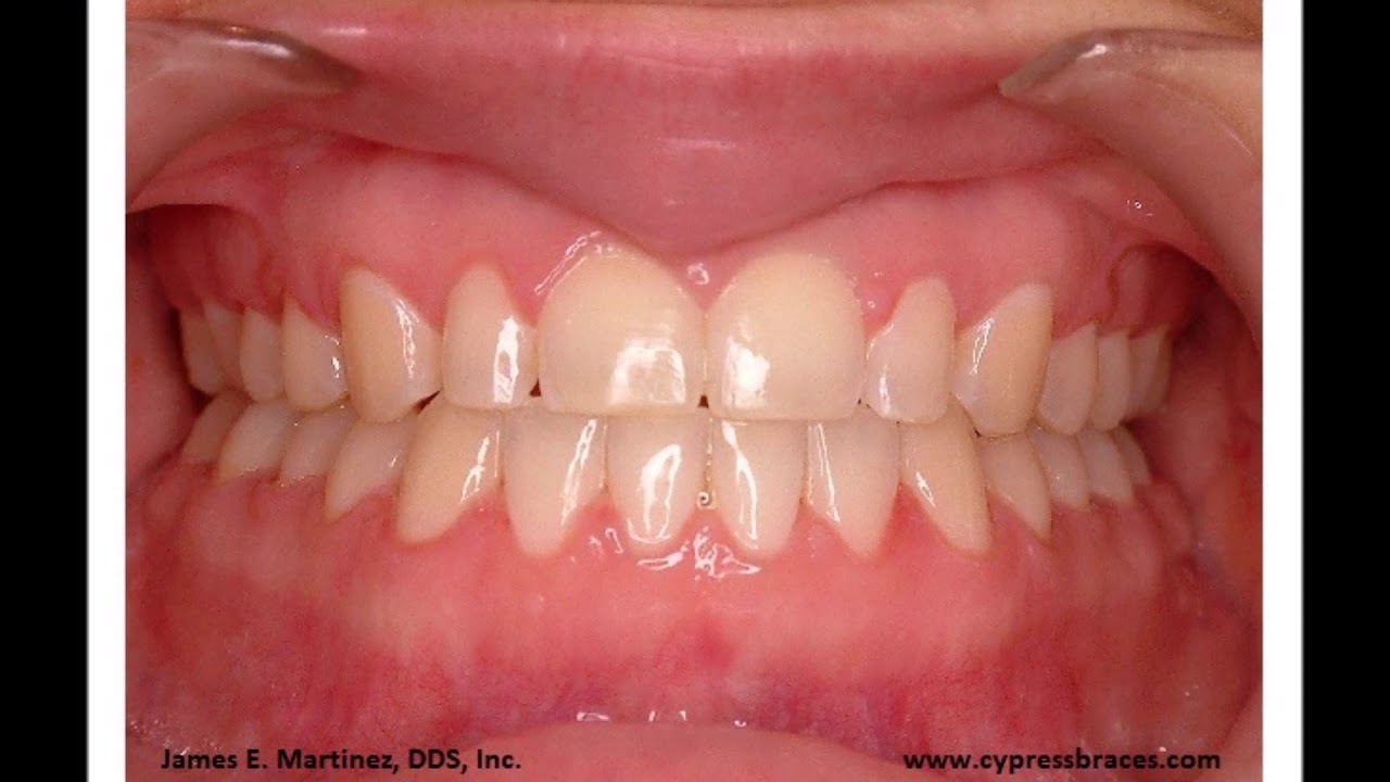
Orthodontic case in combination with jaw surgery.
Orthodontic case in combination with jaw surgery.
Dertar
March 02, 2020
For adults with asymmetry of the upper and lower jaws, sometimes braces with surgery is required to achieve an ideal result.
surgery.
Post a Comment
0 Comments
Popular Videos
RBI Monetary Review | Lecture 8 | Abhinav Sir| Monetary Policy | RBI
February 28, 2020
Overjoyed - John-Mark McGaha (Rehearsal)
March 02, 2020
Woman who's possibly one of the last to see missing kids with AZ ties makes appearance in Mesa court
February 29, 2020
💡 About Alternate Options (Soul Flames) | Talks About Life
March 04, 2020
Challenges faced by digital migration hinder the issuing of spectrum: Deputy Minister Kekana
March 13, 2020
Naas, Sallins and Prosperous Girl Guides Trip to Isle of Man 2019
March 02, 2020
Market Viewpoint 27|02|2020 by Kkunal Parar, Choice Broking
March 01, 2020
Archive
March 2020
2892
February 2020
2559
0 Comments